Valgus deformity of the first toe most often affects mature women, but it also affects men.The deformed base of the thumb does not look aesthetically pleasing.In this case, the person feels physical discomfort, and in an advanced state, pain.The deviation of the big toe is the result of uneven body load on the foot.Such changes have a detrimental effect on the feet and other fingers.
Causes of curvature

Hallux valgus does not occur without an obvious reason.This pathology appears and develops due to various reasons.Hallux valgus most often affects people who are genetically predisposed to this disease.Doctors observe the following causes of deformation of the 1 toe:
- Excess body weight.
- Endocrine diseases.
- Osteoporosis.
- Flat feet.
- Diabetes mellitus.
- Psoriasis.
- Arthritis.
- Hormonal changes during pregnancy and old age.
- Wearing tight shoes.
- The peculiarity of the profession, which forces a person to carry increased physical activity on his feet every day.
Stages and varieties
Doctors consider 3 stages of disease progression:
- Subtle valgus deviation.Redness of the skin and minor abrasions appear.Discomfort while walking.
- A growth is already clearly visible on the thumb.Swelling and pain are observed.
- This form of the disease is considered advanced.A person is bothered by constant unbearable pain in the big toe and the entire foot, as well as the appearance of keratinized skin.The pain does not go away even during sleep.
Many factors influence the development of unpleasant hallux valgus.Experts have identified the following types of finger deformities as separate categories:
- Crossing deformity.The curvature occurs in different directions.Fingers crossed.
- The curvature of the joints to such an extent that they are always in a bent position.In the first stage of the development of the pathology, the fingers can be forced to straighten with the help of the hands.If you do not start the treatment at this time, the fingers will become so stiff that you will no longer be able to straighten them with your hands.Today it is impossible without surgery.
- Taylor's deformity.Pathology affecting the little fingers.It is characterized by the appearance of growth on the bones.
- The curvature of the phalanges resembles hooks.

Among the experts are ballerinas who are at risk of developing hallux valgus.Dancing on your toes puts extra stress on your toes, leading to curling.Walking incorrectly can also cause unwanted consequences.The provoking factors are aggravated even by age.
Diagnostic methods
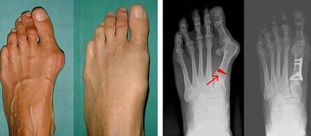
If visual inspection and x-rays are inconclusive, the patient is referred for plantography to determine possible flat feet.This method includes the impression of the foot, on the basis of which shoes or insoles with orthopedic properties are made for the patient.The patient is then prescribed podometry.This method uses computer analysis to determine the pressure of a person's weight on the foot.The results of the advanced diagnostics are the basis for choosing the treatment method for the curvature of the first and second toes.
The disadvantage of X-ray examination is that the patient's leg has to be irradiated, which many patients do not like.They think this method is too harmful.In this regard, effective treatment of hallux valgus cannot be started without the results of plantography.

This is the best informative diagnostic method.With its help, the doctor determines not only the presence of flat feet, but also the condition of the arch of the foot.The most effective way to detect flat feet is a computerized examination.
In the first stage of identification of big toe and little toe valgus, the doctor performs a visual examination.In this way, it determines the stage of development of the pathology.In order to identify detailed changes in the joints, X-rays and plantography are prescribed.
Drug therapy
It is better to start the gentle treatment of the foot and the big toe even before the final stage of development of the pathology.Experts know how to treat this pathology, but they do not know how to cure the advanced form of the disease without surgical intervention.First of all, doctors determine the cause of the curvature of the fingers, as well as the presence of complicating factors.As is known, the task of drug therapy is also symptomatic therapy.This means that pain, inflammation and swelling will disappear.
Most often, patients are prescribed non-steroidal anti-inflammatory drugs.In addition to their main function, they reduce pain and fever.If complications occur, hormonal corticosteroids are often prescribed.If the deformation of the fingers is caused by diseases of the internal organs, then the joints can be corrected after the underlying pathology is cured.In this case, endocrinologists are involved in the problem together with other highly qualified specialists.Many people try to cure themselves with folk remedies, forgetting that this is possible only at the initial stage of the development of the pathology.
If the pathology is detected at the initial stage, the crooked thumb is straightened with devices - plastic or silicone inserts with orthopedic properties.Soft, roomy shoes must be worn during the treatment.Orthopedic insoles, arch supports and other correctors are used to straighten crooked fingers.Deformed fingers are fixed with special splints, rings, caps and combs.With the help of such devices, the fingers are fixed in the correct position.Thanks to the orthopedic fasteners, further deformation of the fingers is stopped.
There are two ways to treat hallux valgus.The first is the painless correction of the deformity, which does not require surgical intervention and rehabilitation, the second is the treatment through surgery.
Surgical treatment methods

A full recovery of hallux valgus is only possible with a surgical scalpel.Sometimes a single operation is enough, and the patient forgets about the problem forever.The doctor performs a surgical intervention, taking into account the type of hallux valgus deformity.The most common types of operations are:
- Exostectomy.Only a certain part of the metatarsal bone is removed.
- Resection arthroplasty.The end of the metatarsal bone is removed.
- Osteotomy.It is used to remove the metatarsal bone and a small part of the phalanx.
- Resection.The aim of the surgery is to remove the affected soft tissues and then transplant healthy tissues in their place.
- Arthrodesis.It ensures forced immobility of the joints.
- Distal osteotomy.The operation involves reducing the angle between the joints.
- Removal of the inflamed bursa of the big toe.
- Installation of implants.
The rehabilitation period after surgery can last up to seven weeks.Special preventive measures are usually implemented during these few weeks.First of all, these are therapeutic exercises that help:
- improving health;
- pain reduction while walking;
- increasing the tone of the leg muscles;
- installation and fixation of the deformed joint in its natural position.
The duration of the rehabilitation period most often depends on how complex the operation was.To speed up healing, you should start moving your fingers the next day.After a week, the patient can stand up and move slowly, observing the precautions.The point is to avoid prolonged stress.
After surgery, you will need high-quality soft and roomy shoes.It can be purchased on a doctor's recommendation.By the way, if you start therapeutic exercises at the very beginning of the development of hallux valgus, then you can do it not only without surgical intervention, but also without wasting money on various tools, ointments and medicines.
According to the experts, the surgical treatment option gives practically one hundred percent positive results.This gentle treatment method does not require anesthesia and does not cause stress or psychological distress.However, painless treatment methods cannot save a person from the last stage of the disease.
Preventive measures

Preventive measures are quite simple - wearing comfortable shoes with a wide toe, the inside of which does not put pressure on the toes.Joints in particular, and feet in general, are able to withstand the weight accumulated during human growth without causing damage.Therefore, it is very important to monitor your weight to avoid obesity.
One of the effective preventive exercises is the following: a person sits on a chair with his feet on the floor and moves them with his fingers.
The next exercise involves walking barefoot on the floor, alternating on the toes and heels.
Simple gymnastics are quickly mastered, leading to more complex physical exercises.You can then perform actions such as picking up a pencil or any other object from the floor.
It is better to prevent the deformation of the thumb than to stand in line at medical institutions afterwards to receive the doctor's recommendations for choosing an effective treatment.























